
Conoce a tu dentista
Hace mas de 15 años comence a cuidar sonrisas y descubrí que mi parte favorita era la primer cita; esa donde puedo llegar a conocerte y entender lo que es para ti sonreir.
Convalidé mi carrera en 2023 con un objetivo claro: Crear un espacio seguro donde no tratemos dientes. Darte lo mejor no sería posible sin un equipo altamente especializado, y ese es el corazón de Phoenix, te prometo que te trataremos como mereces y sonreiras nuevamente.
Sonrisas PHX
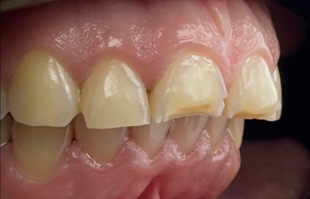
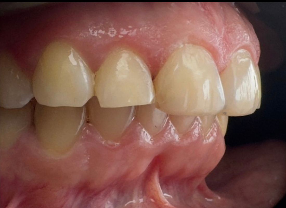
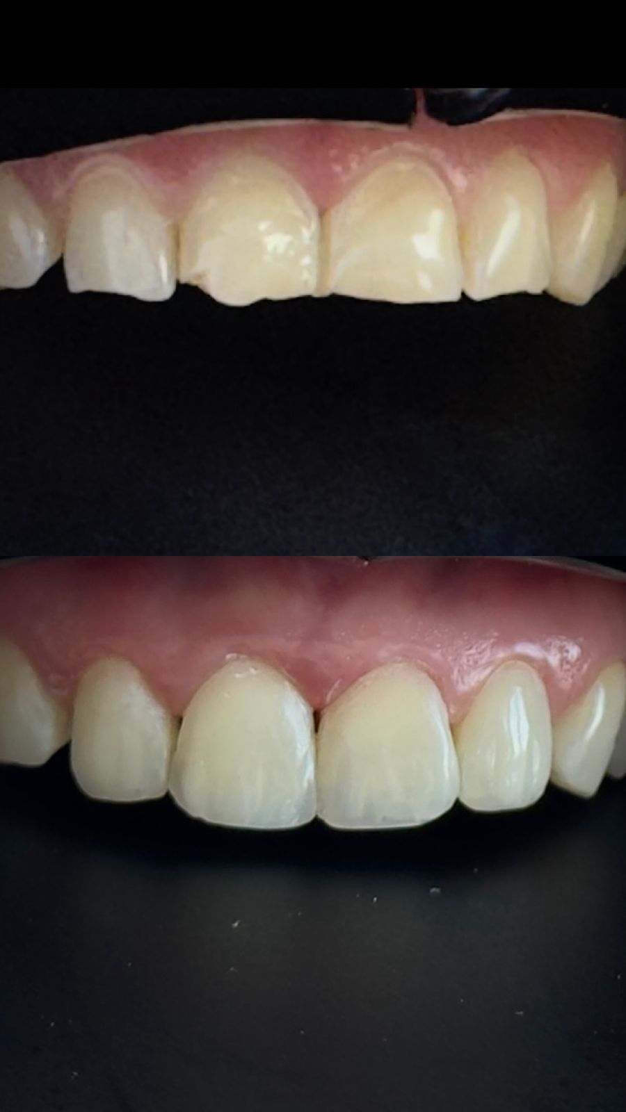
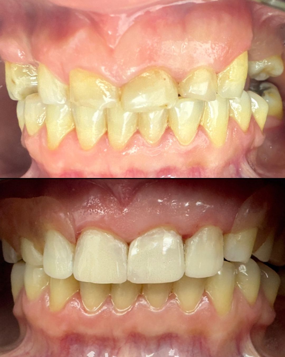
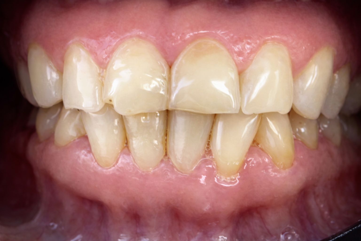
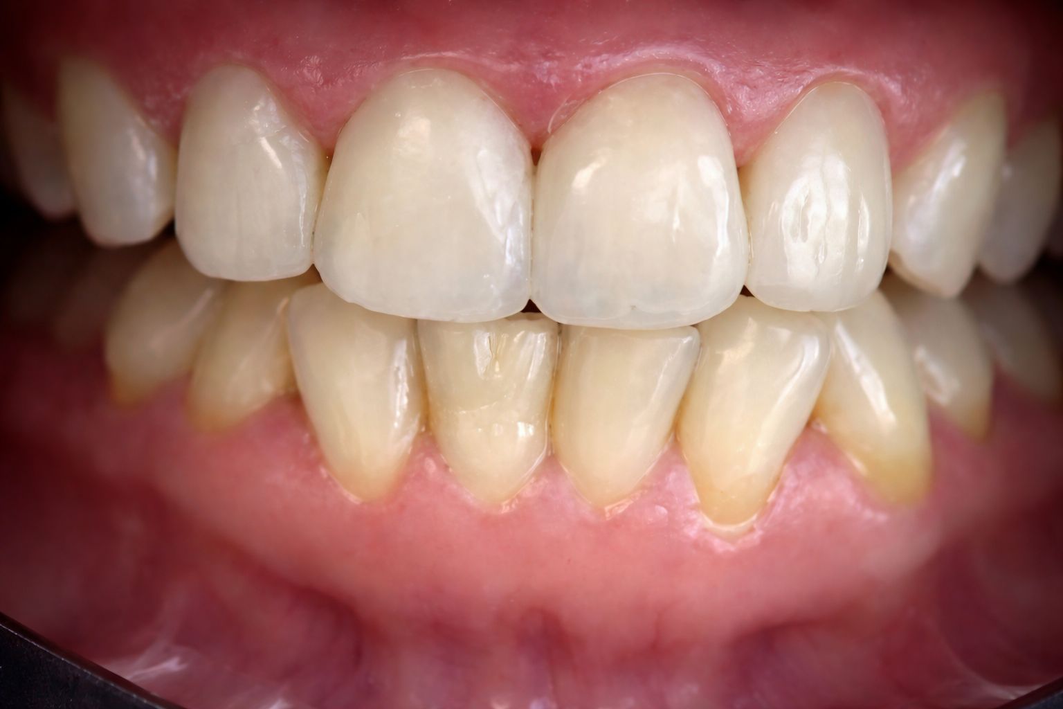
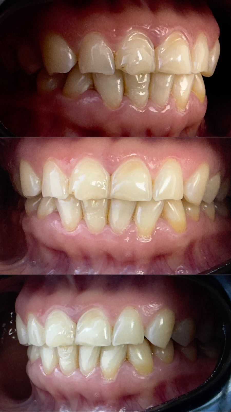
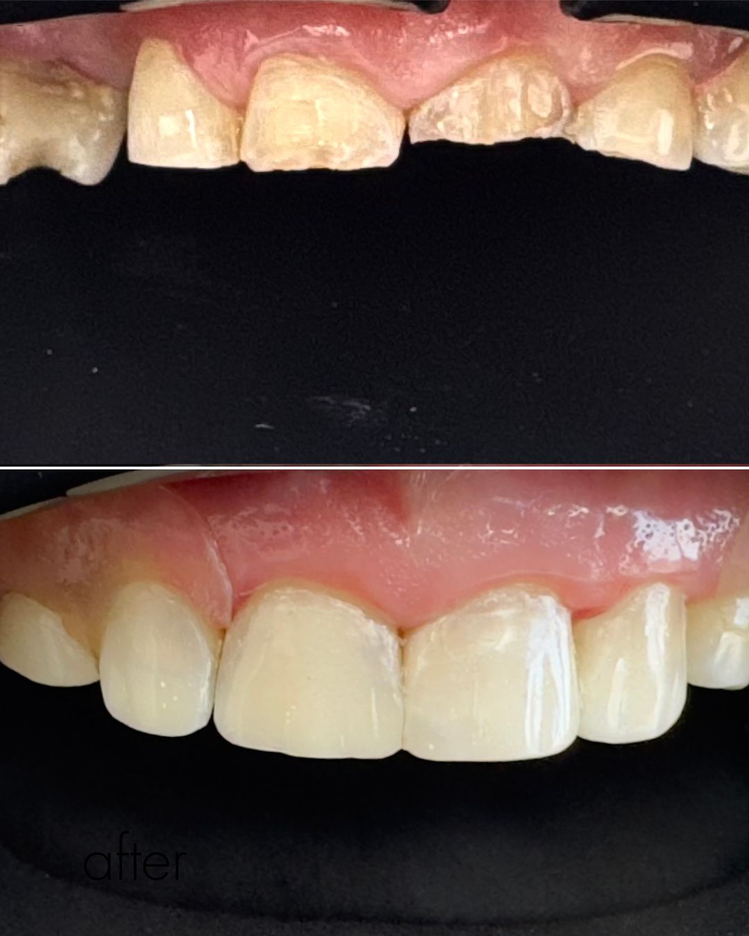
Historias reales
Te acompañamos en el renacer de tu sonrisa y celebramos juntos tu transformación. Tu sonrisa, tu historia, nuestra prioridad
Conoce cada detalle del camino hacia tu nueva sonrisa



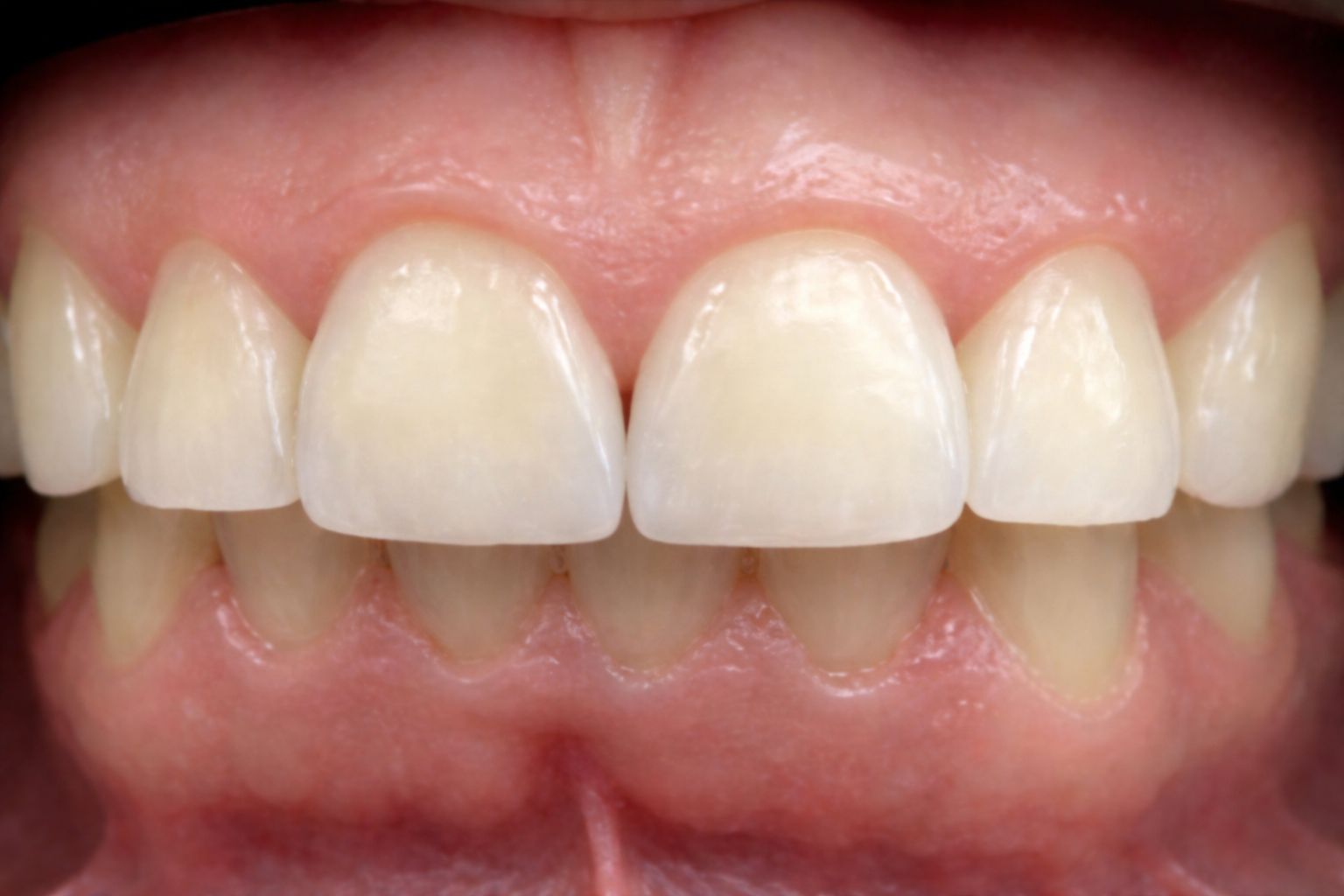
Cuidado personalizado para la sonrisa que amas
Bienestar Proactivo
Estamos acá para cuidar la sonrisa que tienes y preservarla sana para toda la vida con cuidados preventivos:

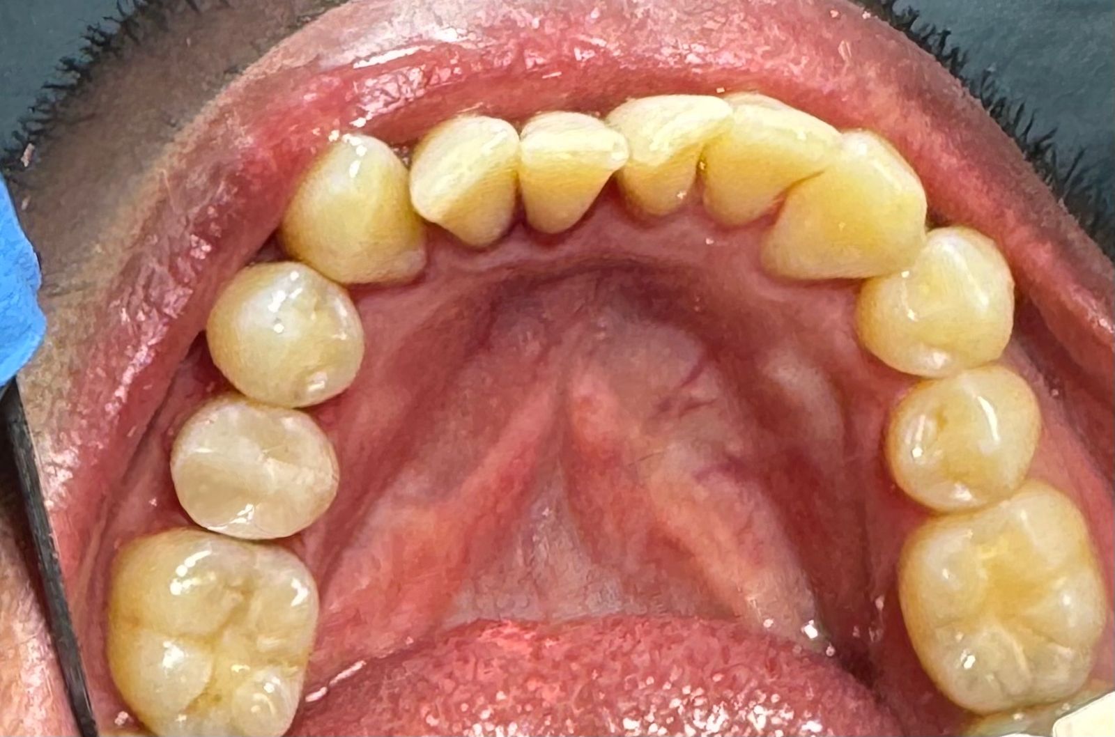
Ortodoncia y Cirugía
Alinear tus dientes mejorando su función y embelleciendo tu sonrisa con beneficios de la Ortodoncia. La salud de tus encías tambien mejorará al tener dientes bien posicionados y que te faciliten su limpieza, todo esto es posible y nuestros especialistas te acompañarán durante el proceso.

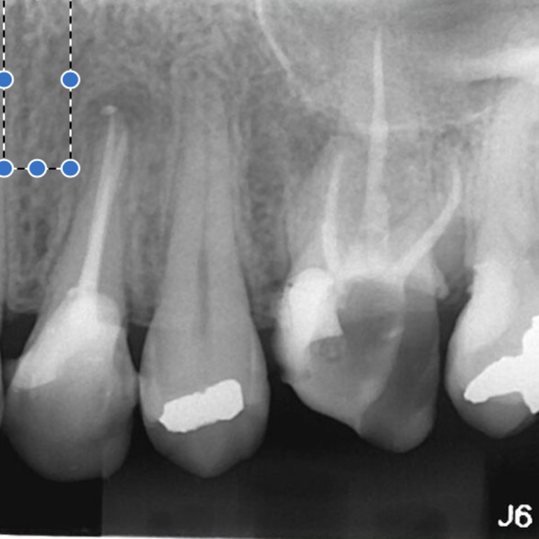
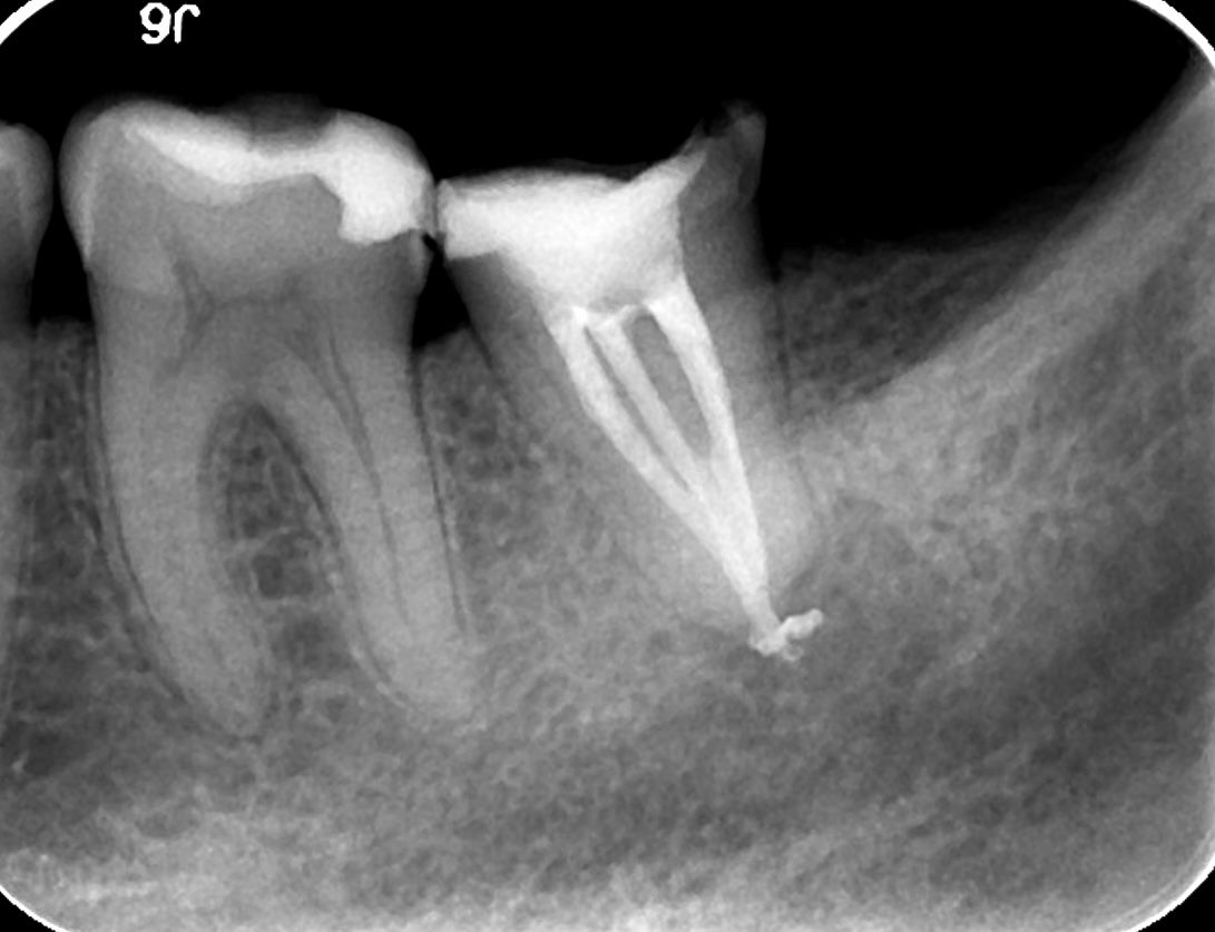
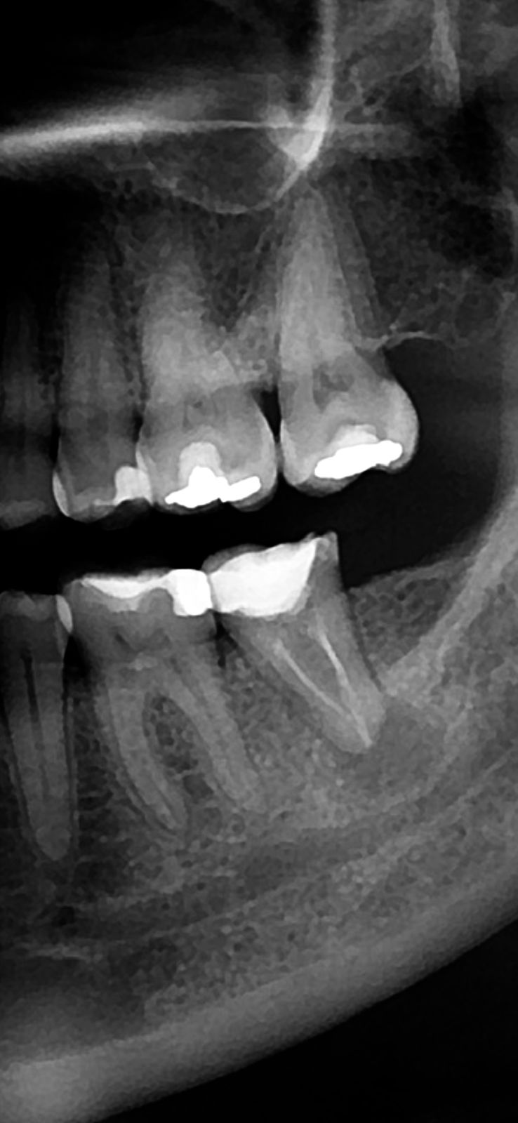
Tratamiento del dolor
Sonreir debe ser agradable. Podemos ayudarte a eliminar los dolores, nuestros especialistas te ofrecen:

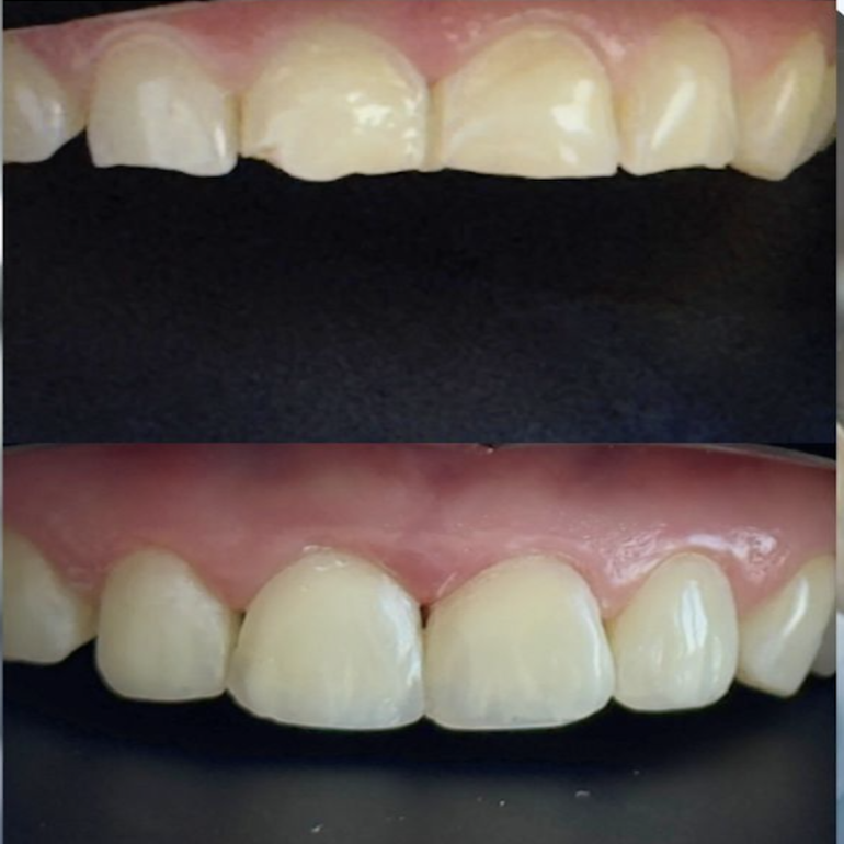
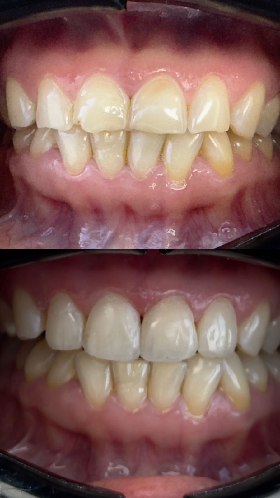
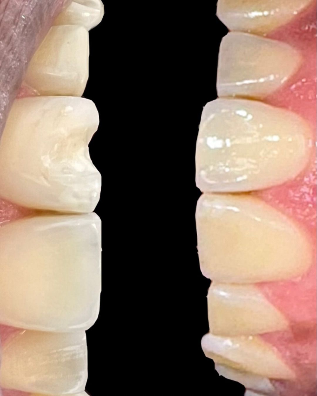
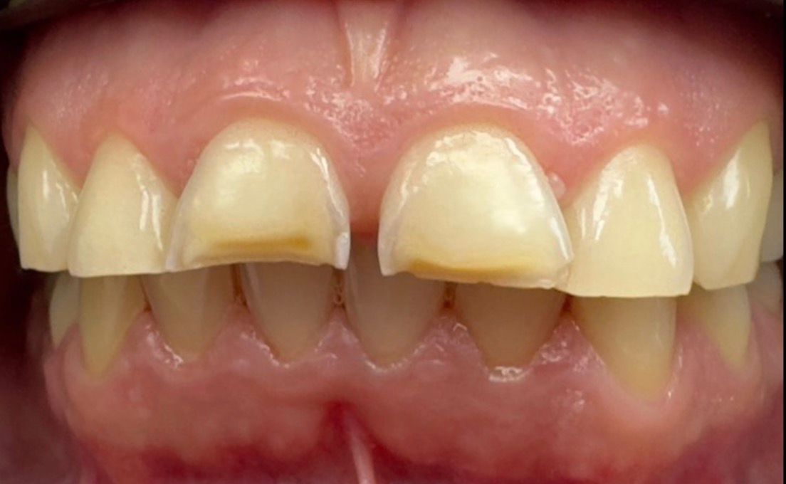
Odontologia Restauradora Estética
Nuestros especialistas con dedicación y empatía te ofrecerán toda su experiencia a través de nuestros tratamientos:

Comienza tu camino hacia la confianza
Profesionalismo
Atención al paciente
Higiene y Seguridad
Innovación
Has visto cómo colaboramos con nuestros pacientes, priorizamos su comodidad y nos enfocamos en lograr la sonrisa que deseas. Si estás listo para una atención dental donde primero te escuchan y te brindan resultados que te encantarán, comencemos a diseñar juntos tu camino personalizado.

